【医学与健康科技创新工程进展快报 第59期】
长久以来,人们一直怀疑精神压力与肿瘤之间存在联系,而激活机体抗肿瘤免疫应答是肿瘤治疗的必由之路。那么,精神压力是否影响肿瘤治疗过程中的抗肿瘤免疫应答,相关机制如何?
2019年9月9日,《Nature Medicine》杂志在线发表了beat365官方网站苏州系统医学研究所马瑜婷团队的最新研究成果,揭示了精神压力导致的神经内分泌系统与免疫系统之间的对话机制,及其对免疫治疗与化疗结局的影响。
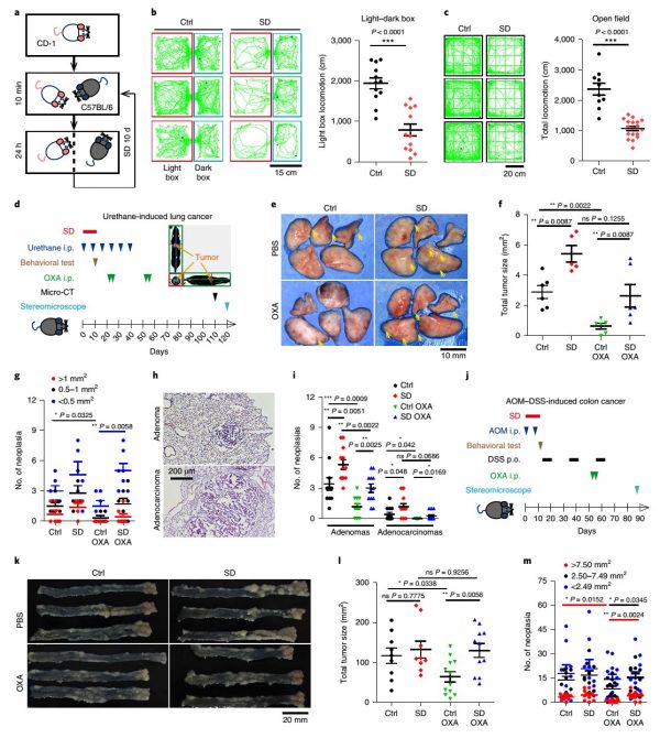
马瑜婷团队借助小鼠重复社交挫折(social defeat, SD)模型、急性束缚(acute restraint, AR)模型诱导小鼠精神应激,通过旷场、明暗盒、仪容整理、社交躲避等多种行为学测试指标量化小鼠的焦虑及抑郁表型。在给小鼠皮下移植肿瘤(肺癌、肠癌及骨肉瘤)模型以后,该团队发现,在致癌物诱导的原发肺癌及肠癌小鼠模型中,精神应激可阻碍化疗、肿瘤疫苗和PD-1单抗对小鼠的治疗效果。通过对肿瘤免疫微环境和外周血中免疫细胞群及可溶性因子进行系统性解析,该团队证实:精神应激可导致肿瘤局部及全身系统性的免疫抑制,SD预处理可促使浸润肿瘤的DC细胞的转录组重新编程,抑制肿瘤微环境中的Th1/Tc1应答,还可以对外周血中多种重要细胞因子和趋化因子的表达加以负向调节。

图:精神应激影响肿瘤进程及化疗效果
免疫细胞表达多种神经递质受体和激素受体,这是神经内分泌系统调控免疫系统的重要分子基础。为探索精神应激抑制抗肿瘤免疫的分子机制,该团队分析了皮质酮、血清素及去甲肾上腺素的水平。通过深入解析相关分子机制,该团队证实:精神压力诱导的皮质酮上调可使DC细胞内Tsc22d3表达增强,而该分子可抑制肿瘤内DC细胞的I型干扰素应答,并下调其MHC-I/II抗原提呈途径相关分子的表达。
借助对肿瘤公用数据库的深入挖掘,以及与南通市肿瘤医院、中山大学肿瘤防治中心等多个团队的密切合作,该研究还发现了肺癌(有吸烟经历者)、肠癌、胃癌组织中高水平的Tsc22d3表达与不良预后具有相关性,而受Tsc22d3抑制的I型干扰素应答代表基因CXCL9及CCL5的低表达也与不良预后显著相关。该工作从“精神应激调控抗肿瘤免疫”的全新角度深入探索了神经内分泌系统与免疫系统交互作用的分子机制,为肿瘤防治提供全新的理论依据、潜在的治疗靶点及可行的治疗策略。
特别值得一提的是,糖皮质激素类药物,如地塞米松和泼地尼松等在临床被广泛用于自身免疫性疾病及严重炎症反应的控制、预防和减缓肿瘤化疗的副作用,作为抗肿瘤药物诱导血液肿瘤细胞的死亡,或者作为血小板减少征的治疗药物等。随着免疫系统在抗肿瘤治疗过程中的关键作用被发现,糖皮质激素作为强效免疫抑制剂是否应该在癌症治疗中广泛应用,是否会影响肿瘤控制效果,应用的剂量、时间点及时长如何优化,还有待细致解答。
苏州系统医学研究所副研究员杨衡博士、助理研究员夏琳博士、南通大学附属肿瘤医院陈健主任医师为论文共同第一作者;马瑜婷研究员和研究所荣誉教授、法国巴黎第五大学 Guido Kroemer 教授担任本篇论文的共同通讯作者。该研究还得到了来自南通大学附属肿瘤医院施民新副院长、法国及澳大利亚的多个团队合作者的热情支持。该研究能顺利完成,要特别感谢国家自然基金委、国家重点研发计划、beat365官方网站医学与健康科技创新工程(项目编号:2016-I2M-1-005、2019-I2M-1-003)、江苏省杰出青年基金等项目的大力资助。
论文链接:https://www.nature.com/articles/s41591-019-0566-4#author-information
(苏州系统医学研究所)